Скан МРТ испугал родителей, показав в утробе ребёнка, похожего на марсианина
Со снимка на будущих родителей смотрел словно пришелец из фильма "Марс атакует!".
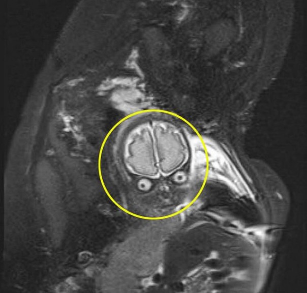
Лаура Томас, которая находилась на 30-й неделе беременности, и её партнёр Мэтью Тэнсли были в шоке, когда увидели на МРТ своего будущего ребёнка. На снимке их нерождённый сын был похож на марсианина из фильма "Марс атакует!" Тима Бёртона, сообщает The Sun.
Впрочем, это нисколько не напугало будущих родителей, а лишь рассмешило, ведь малыш оказался совершенно здоровым. Дело в том, что врачи заподозрили, что у мальчика может быть избыток жидкости в мозге, но сканирование показало, что всё в порядке.
Лукас родился в апреле прошлого года, но 25-летняя Лаура поделилась снимком только сейчас. Девушка боялась, что у ребёнка могут проявиться какие-либо болезни, из-за чего и получился такой страшный кадр, но, к счастью, всё обошлось.

"Врач предупредила меня, что изображения будут сильно отличаться от стандартного 2D-сканирования, но я не ожидала, что он будет выглядеть вот так. Сначала я, конечно, испугалась, но в итоге вышло очень смешно" - Лаура Томас. Источник
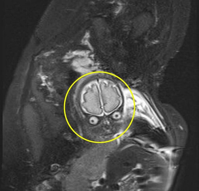
Лаура Томас, которая находилась на 30-й неделе беременности, и её партнёр Мэтью Тэнсли были в шоке, когда увидели на МРТ своего будущего ребёнка. На снимке их нерождённый сын был похож на марсианина из фильма "Марс атакует!" Тима Бёртона, сообщает The Sun.
Впрочем, это нисколько не напугало будущих родителей, а лишь рассмешило, ведь малыш оказался совершенно здоровым. Дело в том, что врачи заподозрили, что у мальчика может быть избыток жидкости в мозге, но сканирование показало, что всё в порядке.
Лукас родился в апреле прошлого года, но 25-летняя Лаура поделилась снимком только сейчас. Девушка боялась, что у ребёнка могут проявиться какие-либо болезни, из-за чего и получился такой страшный кадр, но, к счастью, всё обошлось.

"Врач предупредила меня, что изображения будут сильно отличаться от стандартного 2D-сканирования, но я не ожидала, что он будет выглядеть вот так. Сначала я, конечно, испугалась, но в итоге вышло очень смешно" - Лаура Томас. Источник
Новостной сайт E-News.su | E-News.pro. Используя материалы, размещайте обратную ссылку.
Оказать финансовую помощь сайту E-News.su | E-News.pro
Если заметили ошибку, выделите фрагмент текста и нажмите Ctrl+Enter (не выделяйте 1 знак)









