Добро и зло с научной точки зрения
В последние десятилетия исследователи добились заметных успехов в выявлении движущих сил добра и зла. Оказалось, например, что за вынесение моральных суждений ответственны определенные участки мозга.

1 октября 2017 г. | Лас-Вегас, штат Невада | 58 убитых, 546 раненых
Засевший на 32-м этаже отеля человек, вооруженный полуавтоматическими винтовками, переделанными для более быстрой стрельбы, выпустил в гостей музыкального фестиваля более тысячи пуль. Массовые расстрелы после 2011 года стали происходить значительно чаще, чем прежде.

14 декабря 2012 г. | начальная школа «Санди-Хук» | 27 убитых, 2 раненых
6 работников школы и 20 детей погибли в результате массового расстрела в Ньютауне, штат Коннектикут. До этого убийца застрелил собственную мать. Школа была переведена в другое место, здание разобрано. От него не осталось ничего, даже флагштока.

12 июня 2016 г. | клуб «Пульс», Орландо, штат Флорида | 49 убитых, 53 раненых
Один из самых кровавых терактов, произошедших в США после 11 сентября 2001 года, был устроен человеком, заявившим о своей связи с запрещенной в России группировкой ИГИЛ, в баре, популярном среди представителей гей-сообщества. В первую годовщину на месте трагедии почтили память погибших.
Из окна кухни Эшли Олдридж, 19-летней матери двоих детей, был хорошо виден железнодорожный переезд, расположенный метрах в ста от ее дома на колесах в Оберне, штат Иллинойс.
Мужчину в инвалидной коляске она заметила, когда, закончив кормить малышей, стала мыть посуду. В какой-то момент, подняв глаза от раковины, Олдридж увидела, что коляска как вкопанная стоит на переезде – застряла. Человек звал на помощь, но мотоцикл, а потом две машины проехали мимо.
Олдридж выскочила на улицу. Раздался сигнал приближающегося поезда и лязг опускающегося шлагбаума, Эшли, как была, босиком, бросилась к переезду. От поезда, несшегося со скоростью 125 километров в час, ее отделяло меньше километра. Олдридж попыталась сдвинуть коляску с места – безрезультатно.
Тогда она схватила мужчину под мышки, чтобы приподнять, – тоже не получилось. Поезд, громыхая, приближался. Олдридж последним невероятным усилием выдернула мужчину из коляски, и они рухнули на насыпь. Через несколько мгновений поезд снес инвалидную коляску, еще с километр тащил по рельсам обломки.
Человека, которого Олдридж спасла тем сентябрьским днем 2015 года, она не знала. Ее героический поступок – пример того, что ученые называют крайним альтруизмом. Это свойство человеческой натуры, проявляющееся в самоотверженных действиях, направленных на помощь посторонним людям с риском для собственной жизни.
Неудивительно, что многие из таких героев работают в сферах, где готовность рисковать жизнью – часть профессии. Однако и среди людей самых обычных профессий есть те, кого отличает крайний альтруизм.
Эшли Олдридж
Победить страх, чтобы помочь попавшему в беду Юная Олдридж, мать двоих детей, бросилась к железнодорожному переезду, чтобы спасти человека, чью инвалидную коляску заклинило на путях. Она вытащила незнакомца из коляски за несколько секунд до того, как поезд разнес ее на куски. «Я не считаю себя героиней, – говорит Эшли, – я просто пришла на помощь. Если бы такое случилось с моим дедушкой, надеюсь, ему тоже кто-нибудь помог».
Сравните эти благородные поступки с ужасными преступлениями, которые тоже совершают люди: убийства, насилие, похищения детей, пытки… Вспомните, к примеру, кровавую бойню, устроенную в октябре 2017 года на фестивале музыки кантри в Лас-Вегасе: человек расстрелял толпу зрителей.
Через три недели после трагедии были опубликованы официальные данные о жертвах: 58 убитых и 546 раненых. Подобные случаи, конечно, можно назвать из ряда вон выходящими. И все же такое происходит нередко – вернее, достаточно часто для того, чтобы подтверждать мрачную истину: мы, люди, способны быть чудовищно безжалостными.
Крайние альтруисты и психопаты воплощают, соответственно, наши самые лучшие и самые худшие инстинкты. На одном краю морального спектра – способность к самопожертвованию, великодушие и другие благородные черты, на другом – эгоизм, склонность к насилию и разрушению.
Энтони Чавес
Во время музыкального фестиваля в Лас-Вегасе Чавес и его девушка попали под обстрел. Когда Чавес увидел рядом с собой залитую кровью женщину, он помог незнакомке добраться до безопасного места, а потом заметил еще одну женщину – они были шапочно знакомы. «В ее глазах не было ничего, кроме ужаса», – вспоминает Чавес. Он помог этой женщине и еще нескольким людям, парализованным страхом, спастись.
Ученые предполагают: у людей стремление помогать друг другу развилось благодаря тому, что взаимопомощь в рамках больших социальных групп была критически важна для выживания. Однако, поскольку этим группам приходилось конкурировать за ресурсы, готовность калечить, а при необходимости – убивать соперников была, к сожалению, не менее важна.
«Мы – самые общественные животные на Земле, и мы же – самые жестокие, – говорит Джин Десети, специалист по нейросоциологии. – Мы двулики, потому что оба “лица” были необходимы нам для выживания».
В последние десятилетия исследователи добились заметных успехов в выявлении движущих сил добра и зла. Эти силы, похоже, связаны с одним и тем же важнейшим свойством нашей психики: эмпатией, то есть врожденной способностью представлять, что чувствует и переживает другой человек.
Ученые обнаружили, что именно эмпатия побуждает нас помогать тем, кто попал в беду. Исследования также показали, что в основе жестокого, психопатического и антиобщественного поведения лежит недостаток эмпатии, который, по всей видимости, объясняется сбоем в нейронных цепях.
Мика Флетчер
Флетчер и еще двое мужчин пришли на помощь двум женщинам (одна из них была в хиджабе), на которых в вагоне пригородного поезда в Портленде набросился человек, выкрикивавший проклятия в адрес мусульман. Нападавший нанес ножевые удары всем троим. Двое скончались, а Флетчер, получивший глубокое ранение в шею, выжил.
По его словам, он пришел на помощь женщинам, не раздумывая, инстинктивно. В детстве у Мика была диагностирована легкая форма аутизма, он подвергался издевательствам со стороны сверстников, случалось, его и поколачивали. «Если мы нормальные члены общества, то должны быть готовы вступаться друг за друга», – говорит он.
До последнего времени считалось, что маленьких детей не заботит, хорошо или плохо окружающим их людям. Однако результаты недавних исследований показывают, что дети в возрасте до года уже способны к эмпатии.
В соответствующих исследованиях Мааян Давидов, психолог из Еврейского университета в Иерусалиме, и ее коллеги анализировали поведение младенцев, видящих, что кому-то рядом с ними плохо, – это мог быть плачущий ребенок, один из исследователей или мать, делающая вид, что очень расстроена.
Многие малыши до полугода реагируют на подобные раздражители: на их личиках появляется озабоченное выражение; некоторые совершают такие движения, словно хотят приблизиться к расстроенному человеку. У полуторагодовалых детей эмпатия часто проявляется в форме позитивного социального поведения: они обнимают расстроенного ребенка или дают ему игрушку.
Однако так поступают не все малыши. У немногих участников экспериментов со второго года жизни исследователи наблюдают так называемое активное пренебрежение окружающими. «Когда кто-то жаловался им, что ударился, – рассказывает психолог Каролин Зан-Вакслер из Университета Висконсина в Мэдисоне, – эти дети смеялись в ответ и говорили: “Надо быть осторожнее!” – причем не с сочувствием, а с осуждением».
Продолжая наблюдать за этими детьми в подростковом возрасте, Зан-Вакслер и ее коллега Со Юн Ри обнаружили, что они с большой вероятностью начинают демонстрировать склонность к антиобщественному поведению и попадать в неприятные ситуации.
Уильям Рамирес
По пути на работу (он зарабатывает на жизнь мытьем лодок) Рамирес спас сотрудника полиции Майами, по которому преступник вел огонь из автоматической винтовки. Уильям остановил свой автофургон, открыл дверь, чтобы страж порядка мог залезть в машину, и дал по газам. «Я не мог просто проехать мимо», – пожимает плечами Рамирес.
В ходе других исследований с помощью опросов была измерена «степень бессердечия» и недостаточного проявления эмоций у подростков (их спрашивали, например, испытывают ли они раскаяние после того, как сделают что-то плохое).
Подростки, у которых уровень так называемой бесчувственности-неэмоциональности высок, как правило, обнаруживают склонность к частым и сильным поведенческим расстройствам: например, они очень агрессивны в драках или совершают акты вандализма.
Исследователи также обнаружили, что некоторые из этих подростков, став взрослыми, совершают серьезные преступления: убийства, изнасилования, ограбления. А какие-то становятся законченным психопатами – людьми с холодным, расчетливым сердцем, способными не моргнув глазом совершать ужасные злодеяния.
Если недостаток эмпатии, являющийся базовой причиной психопатического поведения, начинает проявляться еще в младенчестве, можно ли говорить о том, что зло таится в генах? На этот вопрос нет однозначного ответа; здесь играют роль и природа, и воспитание. Наблюдения за близнецами показали, что бесчувственность-неэмоциональность, которая бывает у некоторых детей, во многом определяется унаследованными от родителей генами.
Однако исследование, в рамках которого ученые наблюдали за 561 ребенком, рожденным матерями, отличавшимися антиобщественным поведением, доказало, что дети, живущие в приемных семьях, где царит теплая и доброжелательная атмосфера, менее склонны к проявлению бесчувственности-неэмоциональности, чем те, которые живут в неблагополучных семьях.
Дети с генетической предрасположенностью к сложностям с эмпатией, зачастую, можно сказать, обречены. «Ребенок, который не проявляет любви и привязанности, обычно свойственных детям, будет вызывать у окружающих иную реакцию, чем ребенок более покладистый и чуткий, – делится наблюдениями Эсси Вайдинг, психолог из лондонского Университетского колледжа.
– И многие из таких детей, разумеется, живут со своими биологическими родителями, так что им нередко не везет дважды: не только с генами, но еще и с семьей, где отец с матерью менее подготовлены к выполнению родительских обязанностей или сами испытывают проблемы с эмпатией».
Финеас Кейдж и лобная доля
В 1848 году Кейдж, строитель железной дороги (вверху), выжил после взрыва, хотя сильно пострадал: левую лобную долю его мозга проткнуло железным прутом. Выздоровев, из дружелюбного и вежливого человека он превратился в черствого и безразличного.
А вот пример из современной жизни одного канадца: в лобной доле у него образовалась доброкачественная опухоль, и, когда ему ее удалили, его жена сказала хирургам: «Спасибо, что вернули мне мужа». Снимки МРТ (внизу) показывают, как выглядел его мозг до и после операции. Такие случаи помогают понять, как определенные участки мозга управляют нашим поведением.
…Пожарные делали все, что было в их силах, чтобы спасти шестерых детей Мика и Мейрид Филпотт из объятого огнем дома в Дерби (Великобритания) ранним утром 11 мая 2012 года. Но, когда им наконец удалось добраться до второго этажа, где спали дети, в живых оставался только один мальчик. Через два дня в больнице скончался и он. Полиция заподозрила умышленный поджог.
Жители Дерби собрали деньги, чтобы помочь родителям погибших детей оплатить похороны. Мик Филпотт созвал пресс-конференцию. Он всхлипывал и вытирал глаза платком, который, однако, как ни странно, оставался сухим. Выходя из зала, Мик не устоял на ногах и рухнул на пол. А через 18 дней полиция арестовала Филпотта и его жену.
Следователи установили, что они вместе устроили поджог, чтобы обвинить в содеянном бывшую любовницу Мика. Суд признал их виновными в убийстве.
Притворное горе Филпотта и отсутствие раскаяния – черты, характерные для психопатов. Им свойственно пренебрежение к чувствам других людей, хотя они умеют притворяться, что испытывают те или иные эмоции. «На самом деле им неведомы сочувствие, чувство вины или раскаяние, – объясняет Кент Кил, нейробиолог из организации MindResearchNetwork. – Эти люди просто не такие, как все мы».
Кент Кил
Последние два десятка лет Кил занимается изучением природы этого различия, сканируя мозг заключенных. С 2007 года он вместе с коллегами обследовал более четырех тысяч преступников, фиксируя активность их мозга, а также определяя размеры различных его участков.
Обнаружилось, что у заключенных-психопатов наблюдается пониженная по сравнению со всеми прочими заключенными активность миндалевидного тела (участка мозга, играющего главную роль в формировании эмоций), когда они повторяют про себя эмоционально окрашенные слова, показанные им секундой ранее экспериментаторами, такие, как «скорбь» или «недовольство».
В ходе эксперимента, призванного протестировать способность к принятию морально-этических решений, исследователи просили заключенных оценить, насколько оскорбительными им представлялись мелькавшие на экране изображения – например, горящий ку-клукс-клановский крест или в кровь разбитое лицо. Несмотря на то что оценки психопатов не сильно отличались от тех, что давали другие заключенные, у них наблюдалась меньшая активность в участках мозга, ответственных за вынесение моральных суждений.
Кил утверждает, что у психопатов есть «неисправности» во взаимосвязанных областях мозга (в том числе в миндалевидном теле и орбито-фронтальной коре) – системе, которая участвует в формировании эмоций, принятии решений и отвечает за самоконтроль. «По сравнению с другими заключенными у людей, обладающих психопатическими чертами, в этих участках мозга, как правило, содержится на пять-семь процентов меньше серого вещества», – комментирует Кил.
По всей видимости, психопат компенсирует этот недостаток, используя другие участки мозга, чтобы сознательно моделировать то, что на самом деле относится к сфере эмоций. «Иначе говоря, психопаты должны думать о том, что хорошо и что плохо, тогда как все остальные люди чувствуют это».
Эбигейл Марш, психолог из Джорджтаунского университета, вспоминает: когда ей было 19 лет, она ехала на машине по мосту, и вдруг на дорогу перед ней выскочила собака. Девушка дернула руль, чтобы не сбить животное, потеряла управление, и машину вынесло на встречную полосу, где она и остановилась. У Марш не получалось завести двигатель, а выйти из машины она боялась.
Но вдруг, на ее счастье, один из автомобилей припарковался, из него вылез мужчина, перебежал дорогу и помог завести двигатель. «Он очень сильно рисковал, перебегая шоссе, – говорит Марш. – И рисковал жизнью он только потому, что просто хотел мне помочь. Что заставляет людей так поступать?»
Вскоре после того как Эбигейл начала работать в Джорджтаунском университете, ей пришло в голову, что альтруизм, продемонстрированный тем водителем на мосту, может быть в каком-то смысле полярной противоположностью психопатии. Марш начала искать необычайно добрых людей, чтобы попросить их стать участниками исследования. Идеальным вариантом оказались добровольные доноры почек – люди, решившиеся пожертвовать почку незнакомому человеку.
Самер Аттар
Аттар, хирург-ортопед из Чикаго, ездил добровольцем в Ирак, Иорданию и Сирию, чтобы лечить людей, пострадавших в зонах боевых действий. Спасая других, он, как и все крайние альтруисты, не придает значения тому, что рискует собственной жизнью. Во время осады Алеппо в 2016 году Аттар покинул город последним из американских врачей.
Марш и ее коллеги пригласили 19 доноров со всей страны. Ученые показывали каждому участнику серию черно-белых фотографий, изображающих человеческие лица: на одних был написан страх, на других – злоба, а третьи ничего не выражали; тем временем мозг участников эксперимента сканировали томографом, определяя активность и структуру органа.
Когда доноры видели испуганные лица, в миндалевидном теле правых полушарий их мозга наблюдалась более выраженная активность, чем у представителей контрольной группы. Кроме того, исследователи обнаружили, что эти самые правые миндалевидные тела были у них в среднем на восемь процентов больше. Такие же исследования, проводимые ранее с психопатами, дали противоположные результаты: миндалевидные тела у тех были меньше и проявляли меньшую активность, чем у представителей контрольной группы.
«Испуганное лицо пробуждает озабоченность и тревогу. Если это выражение не вызывает у вас реакции, то, скорее всего, вы неспособны переживать за других, – поясняет Марш. – И альтруисты, каковыми являются доноры почек, похоже, очень чувствительны к негативным переживаниям других людей. Может быть, отчасти это объясняется тем, что миндалевидные тела у них больше, чем у многих из нас».
Большинство людей не являются ни крайними альтруистами, ни психопатами и не совершают актов насилия. Тем не менее во всем мире известно такое явление, как геноцид – организованные массовые убийства, которые требуют соучастия или как минимум невмешательства множества людей.
В истории человечества не раз случалось так, что социальные группы, объединенные по этническому, национальному, расовому или религиозному принципу, устраивали истребление других групп людей. Нацисты в Германии, красные кхмеры в Камбодже, экстремисты из племени хуту в Руанде, террористы запрещенной в России ИГИЛ.
Почему замолкает голос совести, станет отчасти понятно, если вспомнить эксперименты, проведенные в 1960-е годы в Йельском университете психологом Стэнли Милгрэмом. Участников просили посылать разряд тока человеку, находящемуся в другой комнате, если тот неправильно отвечал на вопросы, причем с каждым неверным ответом электрический импульс становился сильнее.
Поощряемые ассистентом экспериментатора в белом лабораторном халате, испытуемые часто доводили уровень напряжения до опасных величин. На самом деле ударов током никто не получал, и крики боли, слышные участникам эксперимента, были записаны заранее, но узнавали они об этом только впоследствии. Исследование показало, что, по словам Милгрэма, «взрослые люди демонстрируют полнейшую готовность идти практически на что угодно, подчиняясь тем, кто обладает властью».
Грегори Стэнтон, основатель некоммерческой организации GenocideWatch, чья цель – предотвращение массовых убийств, выделил стадии, после прохождения которых в целом приличные люди могут начать убивать. Одну из групп общества определяют как «чужую» и заявляют, что она представляет угрозу. Затем следует дискриминация: лидеры начинают называть своих жертв «недочеловеками», «низшей расой» – подрывая, таким образом, способность своих последователей испытывать к ним эмпатию.
Со временем общество поляризуется. «Организаторы будущего геноцида заявляют: “Если вы не с нами, то вы против нас”», – говорит Стэнтон. После этого начинается стадия подготовки: организаторы составляют расстрельные списки, запасают оружие и расписывают план действий. Представителей «чужой» группы иногда сгоняют в гетто или концентрационные лагеря. Затем начинается бойня.
Многие ее участники так никогда и не испытывают раскаяния – не потому, что неспособны к нему, подобно убийцам-психопатам, а потому, что находят способы дать убийствам логичное оправдание.
Исследователь природы геноцида Джеймс Уоллер вспоминает, как получил представление об этой «поразительной способности человеческого разума находить смысл в самых ужасных поступках и оправдывать их», когда проводил опрос нескольких десятков мужчин из племени хуту, осужденных за зверские преступления во время геноцида.
Некоторые из них до смерти забивали детей. А объясняли они это, по словам Уоллера, так: «Если бы я не поступил так, эти дети выросли бы и вернулись бы, чтобы убить меня. То, что я сделал, было необходимо для того, чтобы мой народ выжил».
Сью Клиболд и Кони Сандерс
Клиболд (слева) – мать Дилана Клиболда, одного из двух подростков, совершивших в 1999 году массовое убийство в школе «Колумбайн» (штат Колорадо). Она написала о пережитом книгу «Расплата матери», а всю прибыль от продаж передает благотворительным организациям, которые помогают душевнобольным. Сью Клиболд стала кем-то вроде второй матери для Сандерс (справа), чей отец погиб во время стрельбы в школе.
Много лет Сандерс ненавидела Клиболд за то, что та вырастила сына-убийцу. Но впоследствии, когда ее собственные дети достигли подросткового возраста, она ощутила сочувствие к Сью. «Если и есть человек, чье горе больше моего, то это она», – говорит Сандерс. Женщины (фото сделано на кладбище «Олинджер-Чепел-Хилл» во время церемонии памяти жертв бойни) смогли стать очень близкими людьми.
Словом, наша способность к сопереживанию и состраданию, возможно, и является врожденной, но это не значит, что ее нельзя подавить. То же относится и к тенденции превращения в опасного для общества психопата: если она проявляется в детстве, еще не все потеряно. Исследования, проводившиеся в последние годы, показали: зло можно подавить в зародыше, а наши позитивные социальные инстинкты – укрепить.
Возможность не дать склонным к насилию подросткам вырасти в закоренелых преступников изучали в Мендотском реабилитационном центре для несовершеннолетних (штат Висконсин). В это заведение направляют подростков, совершивших серьезные преступления, однако обстановка здесь больше напоминает психиатрическую больницу, чем тюрьму. У попавших сюда молодых людей обычно за плечами солидный стаж преступной жизни. «Они, по сути, выпали из человеческого общества – ни к кому не привязаны и ко всем враждебны», – рассказывает Майкл Колдуэлл, старший психолог Центра.
В Центре пытаются установить контакт с этими ребятами: несмотря на их агрессивное антиобщественное поведение, сотрудники общаются с ними спокойно и мягко. Каждый день поведение подростков оценивается. Если они вели себя хорошо, на следующий день им дают некоторые поблажки – например, возможность поиграть в видеоигры. Если получили плохие баллы – например, из-за того, что подрались, то теряют эти привилегии.
Подчеркнем: акцент делается не на наказание, а на поощрение – это отличает Мендотский центр от большинства исправительных учреждений. Со временем, рассказывает директор центра Грег Ван Риброук, подростки начинают вести себя лучше. Их бесчувственность-неэмоциональность сглаживается. Обретенная способность держать себя в руках и противиться тяге к насилию, похоже, сохраняется у этих ребят и за стенами Мендотского центра.
Как показывает статистика, подростки, побывавшие здесь, в срок от двух до шести лет после выхода на свободу реже совершают преступления, и если совершают, то не такие жестокие, как их сверстники, отбывавшие наказание в других местах. «Мы не волшебники, – говорит Ван Риброук, – однако мы, по сути, создали систему, которая оценивает тот взгляд на мир, который разделяют эти молодые люди, и пытается последовательно изменить его».
Подростковый лечебный центр Мендота
В этом исправительном учреждении для несовершеннолетних нарушителей закона в штате Висконсин действует программа, помогающая многим из них не превратиться в закоренелых преступников. Каждый день, в зависимости от того, как будут себя вести, подростки могут заработать или, наоборот, потерять некоторые поблажки на завтра – например, возможность играть в видеоигры. На фото: юноша держит график своих средних баллов за неделю, полученных в течение года.
Исследователи выяснили: часть нашего разума, отвечающая за взаимоотношения с окружающими, обладает определенной гибкостью даже у взрослых, а значит, нас тоже можно приучить быть добрее и благороднее. Таня Зингер, специалист по социальной нейробиологии из Института Макса Планка в Лейпциге (Германия), была одной из первых, кто проводил исследования в этой области.
Они с коллегами выяснили, что эмпатия и сочувствие, способные приводить к позитивному социальному поведению, задействуют в мозге разные нейронные сети. Более того, эмпатическая реакция мозга при виде другого человека, испытывающего страдание, способна порой приводить к эмпатическому стрессу – состоянию, в котором наблюдающему чужую беду хочется отвернуться, чтобы не утратить ощущения собственного благополучия.
Зингер и ее коллеги исследовали действенность различных учебно-тренировочных методик, направленных на усиление сочувствия.То есть человеческого проявления, сочетающего понимание того, как плохо другому человеку, с желанием смягчить его боль.
Одна из таких методик, позаимствованная у буддистов, предусматривает медитацию участника эксперимента: тот должен представлять любимого человека и направлять на него свои тепло и доброту, постепенно распространяя эти чувства сначала на знакомых, потом – на незнакомцев и даже на врагов.
Исследования активности определенных участков мозга показали, что люди, практиковавшие такую медитацию в течение нескольких дней, демонстрируют более сочувственную реакцию, когда смотрят короткие видеофрагменты, запечатлевшие людей, которые испытывают душевные страдания, чем те, кого медитации не учили.
В другой раз Зингер и ее коллеги изучали действенность тренировки сочувствия для развития желания помогать другим с помощью компьютерной игры: персонаж пробирается по лабиринту в поисках сундука с сокровищами, открывая двери одну за другой. Но в лабиринте он оказывается не один: там за сокровищами охотится другой герой, и наш персонаж, по условиям игры, может открывать двери не только для себя, но и для него.
Исследователи обнаружили, что игроки, прошедшие тренировку сочувствия, демонстрировали большую склонность помогать другому персонажу – своего рода чужаку, – чем люди из контрольной группы.
Наша способность менять свой разум к лучшему, развивать альтруистичность сулит обществу замечательные перспективы. Одним из способов приблизить наступление светлого будущего, по убеждению Зингер, могло бы стать введение тренировки способности к сочувствию в качестве школьного предмета.
Это наш шанс получить более милосердный мир, в котором доброта, заложенная на уровне инстинкта, перестанет быть чем-то экстраординарным и сделается одним из отличительных признаков принадлежности к роду человеческому.
Юдиджит Баттачарджи
Фото: Линн Джонсон

1 октября 2017 г. | Лас-Вегас, штат Невада | 58 убитых, 546 раненых
Засевший на 32-м этаже отеля человек, вооруженный полуавтоматическими винтовками, переделанными для более быстрой стрельбы, выпустил в гостей музыкального фестиваля более тысячи пуль. Массовые расстрелы после 2011 года стали происходить значительно чаще, чем прежде.

14 декабря 2012 г. | начальная школа «Санди-Хук» | 27 убитых, 2 раненых
6 работников школы и 20 детей погибли в результате массового расстрела в Ньютауне, штат Коннектикут. До этого убийца застрелил собственную мать. Школа была переведена в другое место, здание разобрано. От него не осталось ничего, даже флагштока.

12 июня 2016 г. | клуб «Пульс», Орландо, штат Флорида | 49 убитых, 53 раненых
Один из самых кровавых терактов, произошедших в США после 11 сентября 2001 года, был устроен человеком, заявившим о своей связи с запрещенной в России группировкой ИГИЛ, в баре, популярном среди представителей гей-сообщества. В первую годовщину на месте трагедии почтили память погибших.
* * *
Из окна кухни Эшли Олдридж, 19-летней матери двоих детей, был хорошо виден железнодорожный переезд, расположенный метрах в ста от ее дома на колесах в Оберне, штат Иллинойс.
Мужчину в инвалидной коляске она заметила, когда, закончив кормить малышей, стала мыть посуду. В какой-то момент, подняв глаза от раковины, Олдридж увидела, что коляска как вкопанная стоит на переезде – застряла. Человек звал на помощь, но мотоцикл, а потом две машины проехали мимо.
Олдридж выскочила на улицу. Раздался сигнал приближающегося поезда и лязг опускающегося шлагбаума, Эшли, как была, босиком, бросилась к переезду. От поезда, несшегося со скоростью 125 километров в час, ее отделяло меньше километра. Олдридж попыталась сдвинуть коляску с места – безрезультатно.
Тогда она схватила мужчину под мышки, чтобы приподнять, – тоже не получилось. Поезд, громыхая, приближался. Олдридж последним невероятным усилием выдернула мужчину из коляски, и они рухнули на насыпь. Через несколько мгновений поезд снес инвалидную коляску, еще с километр тащил по рельсам обломки.
Человека, которого Олдридж спасла тем сентябрьским днем 2015 года, она не знала. Ее героический поступок – пример того, что ученые называют крайним альтруизмом. Это свойство человеческой натуры, проявляющееся в самоотверженных действиях, направленных на помощь посторонним людям с риском для собственной жизни.
Неудивительно, что многие из таких героев работают в сферах, где готовность рисковать жизнью – часть профессии. Однако и среди людей самых обычных профессий есть те, кого отличает крайний альтруизм.
Эшли Олдридж
Победить страх, чтобы помочь попавшему в беду Юная Олдридж, мать двоих детей, бросилась к железнодорожному переезду, чтобы спасти человека, чью инвалидную коляску заклинило на путях. Она вытащила незнакомца из коляски за несколько секунд до того, как поезд разнес ее на куски. «Я не считаю себя героиней, – говорит Эшли, – я просто пришла на помощь. Если бы такое случилось с моим дедушкой, надеюсь, ему тоже кто-нибудь помог».
Сравните эти благородные поступки с ужасными преступлениями, которые тоже совершают люди: убийства, насилие, похищения детей, пытки… Вспомните, к примеру, кровавую бойню, устроенную в октябре 2017 года на фестивале музыки кантри в Лас-Вегасе: человек расстрелял толпу зрителей.
Через три недели после трагедии были опубликованы официальные данные о жертвах: 58 убитых и 546 раненых. Подобные случаи, конечно, можно назвать из ряда вон выходящими. И все же такое происходит нередко – вернее, достаточно часто для того, чтобы подтверждать мрачную истину: мы, люди, способны быть чудовищно безжалостными.
Крайние альтруисты и психопаты воплощают, соответственно, наши самые лучшие и самые худшие инстинкты. На одном краю морального спектра – способность к самопожертвованию, великодушие и другие благородные черты, на другом – эгоизм, склонность к насилию и разрушению.
Энтони Чавес
Во время музыкального фестиваля в Лас-Вегасе Чавес и его девушка попали под обстрел. Когда Чавес увидел рядом с собой залитую кровью женщину, он помог незнакомке добраться до безопасного места, а потом заметил еще одну женщину – они были шапочно знакомы. «В ее глазах не было ничего, кроме ужаса», – вспоминает Чавес. Он помог этой женщине и еще нескольким людям, парализованным страхом, спастись.
Ученые предполагают: у людей стремление помогать друг другу развилось благодаря тому, что взаимопомощь в рамках больших социальных групп была критически важна для выживания. Однако, поскольку этим группам приходилось конкурировать за ресурсы, готовность калечить, а при необходимости – убивать соперников была, к сожалению, не менее важна.
«Мы – самые общественные животные на Земле, и мы же – самые жестокие, – говорит Джин Десети, специалист по нейросоциологии. – Мы двулики, потому что оба “лица” были необходимы нам для выживания».
В последние десятилетия исследователи добились заметных успехов в выявлении движущих сил добра и зла. Эти силы, похоже, связаны с одним и тем же важнейшим свойством нашей психики: эмпатией, то есть врожденной способностью представлять, что чувствует и переживает другой человек.
Ученые обнаружили, что именно эмпатия побуждает нас помогать тем, кто попал в беду. Исследования также показали, что в основе жестокого, психопатического и антиобщественного поведения лежит недостаток эмпатии, который, по всей видимости, объясняется сбоем в нейронных цепях.
Мика Флетчер
Флетчер и еще двое мужчин пришли на помощь двум женщинам (одна из них была в хиджабе), на которых в вагоне пригородного поезда в Портленде набросился человек, выкрикивавший проклятия в адрес мусульман. Нападавший нанес ножевые удары всем троим. Двое скончались, а Флетчер, получивший глубокое ранение в шею, выжил.
По его словам, он пришел на помощь женщинам, не раздумывая, инстинктивно. В детстве у Мика была диагностирована легкая форма аутизма, он подвергался издевательствам со стороны сверстников, случалось, его и поколачивали. «Если мы нормальные члены общества, то должны быть готовы вступаться друг за друга», – говорит он.
До последнего времени считалось, что маленьких детей не заботит, хорошо или плохо окружающим их людям. Однако результаты недавних исследований показывают, что дети в возрасте до года уже способны к эмпатии.
В соответствующих исследованиях Мааян Давидов, психолог из Еврейского университета в Иерусалиме, и ее коллеги анализировали поведение младенцев, видящих, что кому-то рядом с ними плохо, – это мог быть плачущий ребенок, один из исследователей или мать, делающая вид, что очень расстроена.
Многие малыши до полугода реагируют на подобные раздражители: на их личиках появляется озабоченное выражение; некоторые совершают такие движения, словно хотят приблизиться к расстроенному человеку. У полуторагодовалых детей эмпатия часто проявляется в форме позитивного социального поведения: они обнимают расстроенного ребенка или дают ему игрушку.
Однако так поступают не все малыши. У немногих участников экспериментов со второго года жизни исследователи наблюдают так называемое активное пренебрежение окружающими. «Когда кто-то жаловался им, что ударился, – рассказывает психолог Каролин Зан-Вакслер из Университета Висконсина в Мэдисоне, – эти дети смеялись в ответ и говорили: “Надо быть осторожнее!” – причем не с сочувствием, а с осуждением».
Продолжая наблюдать за этими детьми в подростковом возрасте, Зан-Вакслер и ее коллега Со Юн Ри обнаружили, что они с большой вероятностью начинают демонстрировать склонность к антиобщественному поведению и попадать в неприятные ситуации.
Уильям Рамирес
По пути на работу (он зарабатывает на жизнь мытьем лодок) Рамирес спас сотрудника полиции Майами, по которому преступник вел огонь из автоматической винтовки. Уильям остановил свой автофургон, открыл дверь, чтобы страж порядка мог залезть в машину, и дал по газам. «Я не мог просто проехать мимо», – пожимает плечами Рамирес.
В ходе других исследований с помощью опросов была измерена «степень бессердечия» и недостаточного проявления эмоций у подростков (их спрашивали, например, испытывают ли они раскаяние после того, как сделают что-то плохое).
Подростки, у которых уровень так называемой бесчувственности-неэмоциональности высок, как правило, обнаруживают склонность к частым и сильным поведенческим расстройствам: например, они очень агрессивны в драках или совершают акты вандализма.
Исследователи также обнаружили, что некоторые из этих подростков, став взрослыми, совершают серьезные преступления: убийства, изнасилования, ограбления. А какие-то становятся законченным психопатами – людьми с холодным, расчетливым сердцем, способными не моргнув глазом совершать ужасные злодеяния.
Если недостаток эмпатии, являющийся базовой причиной психопатического поведения, начинает проявляться еще в младенчестве, можно ли говорить о том, что зло таится в генах? На этот вопрос нет однозначного ответа; здесь играют роль и природа, и воспитание. Наблюдения за близнецами показали, что бесчувственность-неэмоциональность, которая бывает у некоторых детей, во многом определяется унаследованными от родителей генами.
Однако исследование, в рамках которого ученые наблюдали за 561 ребенком, рожденным матерями, отличавшимися антиобщественным поведением, доказало, что дети, живущие в приемных семьях, где царит теплая и доброжелательная атмосфера, менее склонны к проявлению бесчувственности-неэмоциональности, чем те, которые живут в неблагополучных семьях.
Дети с генетической предрасположенностью к сложностям с эмпатией, зачастую, можно сказать, обречены. «Ребенок, который не проявляет любви и привязанности, обычно свойственных детям, будет вызывать у окружающих иную реакцию, чем ребенок более покладистый и чуткий, – делится наблюдениями Эсси Вайдинг, психолог из лондонского Университетского колледжа.
– И многие из таких детей, разумеется, живут со своими биологическими родителями, так что им нередко не везет дважды: не только с генами, но еще и с семьей, где отец с матерью менее подготовлены к выполнению родительских обязанностей или сами испытывают проблемы с эмпатией».
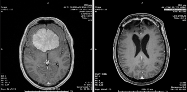
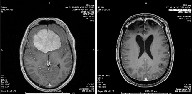
Финеас Кейдж и лобная доля
В 1848 году Кейдж, строитель железной дороги (вверху), выжил после взрыва, хотя сильно пострадал: левую лобную долю его мозга проткнуло железным прутом. Выздоровев, из дружелюбного и вежливого человека он превратился в черствого и безразличного.
А вот пример из современной жизни одного канадца: в лобной доле у него образовалась доброкачественная опухоль, и, когда ему ее удалили, его жена сказала хирургам: «Спасибо, что вернули мне мужа». Снимки МРТ (внизу) показывают, как выглядел его мозг до и после операции. Такие случаи помогают понять, как определенные участки мозга управляют нашим поведением.
…Пожарные делали все, что было в их силах, чтобы спасти шестерых детей Мика и Мейрид Филпотт из объятого огнем дома в Дерби (Великобритания) ранним утром 11 мая 2012 года. Но, когда им наконец удалось добраться до второго этажа, где спали дети, в живых оставался только один мальчик. Через два дня в больнице скончался и он. Полиция заподозрила умышленный поджог.
Жители Дерби собрали деньги, чтобы помочь родителям погибших детей оплатить похороны. Мик Филпотт созвал пресс-конференцию. Он всхлипывал и вытирал глаза платком, который, однако, как ни странно, оставался сухим. Выходя из зала, Мик не устоял на ногах и рухнул на пол. А через 18 дней полиция арестовала Филпотта и его жену.
Следователи установили, что они вместе устроили поджог, чтобы обвинить в содеянном бывшую любовницу Мика. Суд признал их виновными в убийстве.
Притворное горе Филпотта и отсутствие раскаяния – черты, характерные для психопатов. Им свойственно пренебрежение к чувствам других людей, хотя они умеют притворяться, что испытывают те или иные эмоции. «На самом деле им неведомы сочувствие, чувство вины или раскаяние, – объясняет Кент Кил, нейробиолог из организации MindResearchNetwork. – Эти люди просто не такие, как все мы».
Кент Кил
Последние два десятка лет Кил занимается изучением природы этого различия, сканируя мозг заключенных. С 2007 года он вместе с коллегами обследовал более четырех тысяч преступников, фиксируя активность их мозга, а также определяя размеры различных его участков.
Обнаружилось, что у заключенных-психопатов наблюдается пониженная по сравнению со всеми прочими заключенными активность миндалевидного тела (участка мозга, играющего главную роль в формировании эмоций), когда они повторяют про себя эмоционально окрашенные слова, показанные им секундой ранее экспериментаторами, такие, как «скорбь» или «недовольство».
В ходе эксперимента, призванного протестировать способность к принятию морально-этических решений, исследователи просили заключенных оценить, насколько оскорбительными им представлялись мелькавшие на экране изображения – например, горящий ку-клукс-клановский крест или в кровь разбитое лицо. Несмотря на то что оценки психопатов не сильно отличались от тех, что давали другие заключенные, у них наблюдалась меньшая активность в участках мозга, ответственных за вынесение моральных суждений.
Кил утверждает, что у психопатов есть «неисправности» во взаимосвязанных областях мозга (в том числе в миндалевидном теле и орбито-фронтальной коре) – системе, которая участвует в формировании эмоций, принятии решений и отвечает за самоконтроль. «По сравнению с другими заключенными у людей, обладающих психопатическими чертами, в этих участках мозга, как правило, содержится на пять-семь процентов меньше серого вещества», – комментирует Кил.
По всей видимости, психопат компенсирует этот недостаток, используя другие участки мозга, чтобы сознательно моделировать то, что на самом деле относится к сфере эмоций. «Иначе говоря, психопаты должны думать о том, что хорошо и что плохо, тогда как все остальные люди чувствуют это».
Эбигейл Марш, психолог из Джорджтаунского университета, вспоминает: когда ей было 19 лет, она ехала на машине по мосту, и вдруг на дорогу перед ней выскочила собака. Девушка дернула руль, чтобы не сбить животное, потеряла управление, и машину вынесло на встречную полосу, где она и остановилась. У Марш не получалось завести двигатель, а выйти из машины она боялась.
Но вдруг, на ее счастье, один из автомобилей припарковался, из него вылез мужчина, перебежал дорогу и помог завести двигатель. «Он очень сильно рисковал, перебегая шоссе, – говорит Марш. – И рисковал жизнью он только потому, что просто хотел мне помочь. Что заставляет людей так поступать?»
Вскоре после того как Эбигейл начала работать в Джорджтаунском университете, ей пришло в голову, что альтруизм, продемонстрированный тем водителем на мосту, может быть в каком-то смысле полярной противоположностью психопатии. Марш начала искать необычайно добрых людей, чтобы попросить их стать участниками исследования. Идеальным вариантом оказались добровольные доноры почек – люди, решившиеся пожертвовать почку незнакомому человеку.
Самер Аттар
Аттар, хирург-ортопед из Чикаго, ездил добровольцем в Ирак, Иорданию и Сирию, чтобы лечить людей, пострадавших в зонах боевых действий. Спасая других, он, как и все крайние альтруисты, не придает значения тому, что рискует собственной жизнью. Во время осады Алеппо в 2016 году Аттар покинул город последним из американских врачей.
Марш и ее коллеги пригласили 19 доноров со всей страны. Ученые показывали каждому участнику серию черно-белых фотографий, изображающих человеческие лица: на одних был написан страх, на других – злоба, а третьи ничего не выражали; тем временем мозг участников эксперимента сканировали томографом, определяя активность и структуру органа.
Когда доноры видели испуганные лица, в миндалевидном теле правых полушарий их мозга наблюдалась более выраженная активность, чем у представителей контрольной группы. Кроме того, исследователи обнаружили, что эти самые правые миндалевидные тела были у них в среднем на восемь процентов больше. Такие же исследования, проводимые ранее с психопатами, дали противоположные результаты: миндалевидные тела у тех были меньше и проявляли меньшую активность, чем у представителей контрольной группы.
«Испуганное лицо пробуждает озабоченность и тревогу. Если это выражение не вызывает у вас реакции, то, скорее всего, вы неспособны переживать за других, – поясняет Марш. – И альтруисты, каковыми являются доноры почек, похоже, очень чувствительны к негативным переживаниям других людей. Может быть, отчасти это объясняется тем, что миндалевидные тела у них больше, чем у многих из нас».
Большинство людей не являются ни крайними альтруистами, ни психопатами и не совершают актов насилия. Тем не менее во всем мире известно такое явление, как геноцид – организованные массовые убийства, которые требуют соучастия или как минимум невмешательства множества людей.
В истории человечества не раз случалось так, что социальные группы, объединенные по этническому, национальному, расовому или религиозному принципу, устраивали истребление других групп людей. Нацисты в Германии, красные кхмеры в Камбодже, экстремисты из племени хуту в Руанде, террористы запрещенной в России ИГИЛ.
Почему замолкает голос совести, станет отчасти понятно, если вспомнить эксперименты, проведенные в 1960-е годы в Йельском университете психологом Стэнли Милгрэмом. Участников просили посылать разряд тока человеку, находящемуся в другой комнате, если тот неправильно отвечал на вопросы, причем с каждым неверным ответом электрический импульс становился сильнее.
Поощряемые ассистентом экспериментатора в белом лабораторном халате, испытуемые часто доводили уровень напряжения до опасных величин. На самом деле ударов током никто не получал, и крики боли, слышные участникам эксперимента, были записаны заранее, но узнавали они об этом только впоследствии. Исследование показало, что, по словам Милгрэма, «взрослые люди демонстрируют полнейшую готовность идти практически на что угодно, подчиняясь тем, кто обладает властью».
Грегори Стэнтон, основатель некоммерческой организации GenocideWatch, чья цель – предотвращение массовых убийств, выделил стадии, после прохождения которых в целом приличные люди могут начать убивать. Одну из групп общества определяют как «чужую» и заявляют, что она представляет угрозу. Затем следует дискриминация: лидеры начинают называть своих жертв «недочеловеками», «низшей расой» – подрывая, таким образом, способность своих последователей испытывать к ним эмпатию.
Со временем общество поляризуется. «Организаторы будущего геноцида заявляют: “Если вы не с нами, то вы против нас”», – говорит Стэнтон. После этого начинается стадия подготовки: организаторы составляют расстрельные списки, запасают оружие и расписывают план действий. Представителей «чужой» группы иногда сгоняют в гетто или концентрационные лагеря. Затем начинается бойня.
Многие ее участники так никогда и не испытывают раскаяния – не потому, что неспособны к нему, подобно убийцам-психопатам, а потому, что находят способы дать убийствам логичное оправдание.
Исследователь природы геноцида Джеймс Уоллер вспоминает, как получил представление об этой «поразительной способности человеческого разума находить смысл в самых ужасных поступках и оправдывать их», когда проводил опрос нескольких десятков мужчин из племени хуту, осужденных за зверские преступления во время геноцида.
Некоторые из них до смерти забивали детей. А объясняли они это, по словам Уоллера, так: «Если бы я не поступил так, эти дети выросли бы и вернулись бы, чтобы убить меня. То, что я сделал, было необходимо для того, чтобы мой народ выжил».
Сью Клиболд и Кони Сандерс
Клиболд (слева) – мать Дилана Клиболда, одного из двух подростков, совершивших в 1999 году массовое убийство в школе «Колумбайн» (штат Колорадо). Она написала о пережитом книгу «Расплата матери», а всю прибыль от продаж передает благотворительным организациям, которые помогают душевнобольным. Сью Клиболд стала кем-то вроде второй матери для Сандерс (справа), чей отец погиб во время стрельбы в школе.
Много лет Сандерс ненавидела Клиболд за то, что та вырастила сына-убийцу. Но впоследствии, когда ее собственные дети достигли подросткового возраста, она ощутила сочувствие к Сью. «Если и есть человек, чье горе больше моего, то это она», – говорит Сандерс. Женщины (фото сделано на кладбище «Олинджер-Чепел-Хилл» во время церемонии памяти жертв бойни) смогли стать очень близкими людьми.
Словом, наша способность к сопереживанию и состраданию, возможно, и является врожденной, но это не значит, что ее нельзя подавить. То же относится и к тенденции превращения в опасного для общества психопата: если она проявляется в детстве, еще не все потеряно. Исследования, проводившиеся в последние годы, показали: зло можно подавить в зародыше, а наши позитивные социальные инстинкты – укрепить.
Возможность не дать склонным к насилию подросткам вырасти в закоренелых преступников изучали в Мендотском реабилитационном центре для несовершеннолетних (штат Висконсин). В это заведение направляют подростков, совершивших серьезные преступления, однако обстановка здесь больше напоминает психиатрическую больницу, чем тюрьму. У попавших сюда молодых людей обычно за плечами солидный стаж преступной жизни. «Они, по сути, выпали из человеческого общества – ни к кому не привязаны и ко всем враждебны», – рассказывает Майкл Колдуэлл, старший психолог Центра.
В Центре пытаются установить контакт с этими ребятами: несмотря на их агрессивное антиобщественное поведение, сотрудники общаются с ними спокойно и мягко. Каждый день поведение подростков оценивается. Если они вели себя хорошо, на следующий день им дают некоторые поблажки – например, возможность поиграть в видеоигры. Если получили плохие баллы – например, из-за того, что подрались, то теряют эти привилегии.
Подчеркнем: акцент делается не на наказание, а на поощрение – это отличает Мендотский центр от большинства исправительных учреждений. Со временем, рассказывает директор центра Грег Ван Риброук, подростки начинают вести себя лучше. Их бесчувственность-неэмоциональность сглаживается. Обретенная способность держать себя в руках и противиться тяге к насилию, похоже, сохраняется у этих ребят и за стенами Мендотского центра.
Как показывает статистика, подростки, побывавшие здесь, в срок от двух до шести лет после выхода на свободу реже совершают преступления, и если совершают, то не такие жестокие, как их сверстники, отбывавшие наказание в других местах. «Мы не волшебники, – говорит Ван Риброук, – однако мы, по сути, создали систему, которая оценивает тот взгляд на мир, который разделяют эти молодые люди, и пытается последовательно изменить его».
Подростковый лечебный центр Мендота
В этом исправительном учреждении для несовершеннолетних нарушителей закона в штате Висконсин действует программа, помогающая многим из них не превратиться в закоренелых преступников. Каждый день, в зависимости от того, как будут себя вести, подростки могут заработать или, наоборот, потерять некоторые поблажки на завтра – например, возможность играть в видеоигры. На фото: юноша держит график своих средних баллов за неделю, полученных в течение года.
Исследователи выяснили: часть нашего разума, отвечающая за взаимоотношения с окружающими, обладает определенной гибкостью даже у взрослых, а значит, нас тоже можно приучить быть добрее и благороднее. Таня Зингер, специалист по социальной нейробиологии из Института Макса Планка в Лейпциге (Германия), была одной из первых, кто проводил исследования в этой области.
Они с коллегами выяснили, что эмпатия и сочувствие, способные приводить к позитивному социальному поведению, задействуют в мозге разные нейронные сети. Более того, эмпатическая реакция мозга при виде другого человека, испытывающего страдание, способна порой приводить к эмпатическому стрессу – состоянию, в котором наблюдающему чужую беду хочется отвернуться, чтобы не утратить ощущения собственного благополучия.
Зингер и ее коллеги исследовали действенность различных учебно-тренировочных методик, направленных на усиление сочувствия.То есть человеческого проявления, сочетающего понимание того, как плохо другому человеку, с желанием смягчить его боль.
Одна из таких методик, позаимствованная у буддистов, предусматривает медитацию участника эксперимента: тот должен представлять любимого человека и направлять на него свои тепло и доброту, постепенно распространяя эти чувства сначала на знакомых, потом – на незнакомцев и даже на врагов.
Исследования активности определенных участков мозга показали, что люди, практиковавшие такую медитацию в течение нескольких дней, демонстрируют более сочувственную реакцию, когда смотрят короткие видеофрагменты, запечатлевшие людей, которые испытывают душевные страдания, чем те, кого медитации не учили.
В другой раз Зингер и ее коллеги изучали действенность тренировки сочувствия для развития желания помогать другим с помощью компьютерной игры: персонаж пробирается по лабиринту в поисках сундука с сокровищами, открывая двери одну за другой. Но в лабиринте он оказывается не один: там за сокровищами охотится другой герой, и наш персонаж, по условиям игры, может открывать двери не только для себя, но и для него.
Исследователи обнаружили, что игроки, прошедшие тренировку сочувствия, демонстрировали большую склонность помогать другому персонажу – своего рода чужаку, – чем люди из контрольной группы.
Наша способность менять свой разум к лучшему, развивать альтруистичность сулит обществу замечательные перспективы. Одним из способов приблизить наступление светлого будущего, по убеждению Зингер, могло бы стать введение тренировки способности к сочувствию в качестве школьного предмета.
Это наш шанс получить более милосердный мир, в котором доброта, заложенная на уровне инстинкта, перестанет быть чем-то экстраординарным и сделается одним из отличительных признаков принадлежности к роду человеческому.
Юдиджит Баттачарджи
Фото: Линн Джонсон
Новостной сайт E-News.su | E-News.pro. Используя материалы, размещайте обратную ссылку.
Оказать финансовую помощь сайту E-News.su | E-News.pro
Если заметили ошибку, выделите фрагмент текста и нажмите Ctrl+Enter (не выделяйте 1 знак)


















