В екатеринбургской больнице с онкобольного взяли 50 тысяч за бесплатный протез и не установили его
Екатеринбуржец Василий Сапрунов был болен раком. В больнице № 14 с его родственников взяли 50 тысяч за установку протеза, который должен был облегчить жизнь больного, но так и не установили его. А впоследствии оказалось, что протез и вовсе должен быть бесплатным, так как за него платит страховая. Об этом E1.RU рассказал Сергей Сапрунов, сын пациента Василия Сапрунова, который вчера, 26 апреля, скончался.
— Моему отцу поставили диагноз «рак пищевода» в январе 2018 года, — рассказал E1.RU Сергей Сапрунов. — Из-за этой болезни у отца была плохая проходимость пищи. Его отвезли в больницу № 14 по прописке, чтобы установить специальное приспособление для питания в желудок. Главврач больницы позвал нас всей семьей и сказал, что эта трубка в боку крайне неудобна и есть возможность установить вместо нее протез в пищевод, с помощью которого отец сможет есть как обычный человек. Но стоит этот протез более 50 тысяч рублей. Мы, естественно, его приобрели, а в марте отцу якобы его установили.
Через несколько месяцев Василий Сапрунов снова попал в ту же больницу. На этот раз, по словам сына, ему предложили поправить эндопротез. Но после некоторых манипуляций у Василия так и остались проблемы с приемом пищи. Еще через несколько месяцев мужчина снова попал в больницу.
— На этот раз ему предложили установить в желудок ту самую трубку, — говорит Сергей Сапрунов. — Мы поинтересовались: а как же эндопротез, который ему установили. Нам сказали, что эндопротез вышел естественным путем. Мы этому не поверили, проконсультировались с другими врачами, нам сказали, что это функционально невозможно, там сетка металлическая. Мы в итоге забрали отца, решили, что не нужно ему ставить эту трубку, так как это сильно ухудшает качество жизни, а он мог самостоятельно принимать мелкую пищу.

До последнего мужчина старался не сдаваться
Осенью 2018 года с родственниками Василия связались представители страховой компании и спросили, делали ли ему операцию по установке протеза в больнице и брали ли деньги за протез.
— Мы ответили, что операцию проводили и деньги платили, — говорит Сергей. — А они сказали, что больница им предоставила счет за этот же эндопротез и они его оплатили, а для нас он должен быть бесплатным, оплачивается за счет обязательного медицинского страхования. Нам сказали, что нужно приехать с документами и написать претензию на возврат денег.
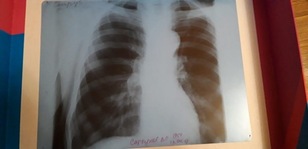
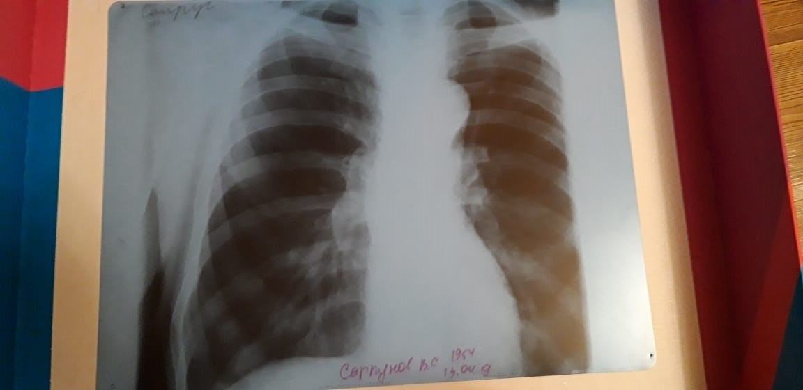
При этом, когда Василий Сапрунов был в больнице в Невьянске после того, как ему стало плохо на даче, там ему сделали снимок, на котором нет никакого протеза.
— Его спросили: а кто вам сказал, что у вас стоит эндопротез. Его изначально не было, сказали нам в больнице Невьянска, — говорит Сергей. — Получается, отец год промучился без этого эндопротеза, а мы при этом заплатили деньги за бесплатный протез.
На снимке, который сделали в больнице в Невьянске, протеза не видно
Вчера, 26 апреля, Василий Сапрунов скончался в этой же больнице № 14, в реанимации. Его сын полагает, что они не единственные, кого могли обмануть в больнице, поэтому они собираются обращаться в суд и в прокуратуру.
— У нас проводится служебное расследование, по результатам которого, если вина медперсонала больницы подтвердится, руководством управления здравоохранения будут приняты самые серьезные меры в отношении виновных, вплоть до увольнения, — сообщили в управлении здравоохранения Екатеринбурга.
Софья ИСАКОВА
Новостной сайт E-News.su | E-News.pro. Используя материалы, размещайте обратную ссылку.
Оказать финансовую помощь сайту E-News.su | E-News.pro
Если заметили ошибку, выделите фрагмент текста и нажмите Ctrl+Enter (не выделяйте 1 знак)








